Esthétique

LES FACETTES DENTAIRES

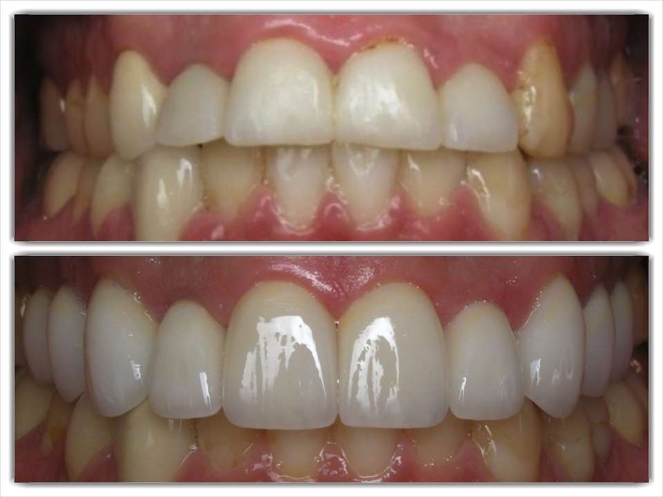
Les facettes sont des revêtements très fins en céramique, collés sur la face externe des dents. Elles permettent un embellissement durable du sourire. L’esthétique est assurée par le «rendu naturel» de la facette liée à la finesse de la préparation (0 ,5 mm).


La technique des facettes céramiques permet de corriger durablement :

  • La teinte des dents lorsqu’il existe des colorations en profondeur qui ne peuvent pas être traitées par un simple blanchiment,
  • Les malpositions légères ou encombrements dentaires,
  • Les anomalies de forme de la dent (trop étroite ou fracturée)
  • Les usures et caries restaurées par des composites disgracieux.

Trois séances suffisent pour cette transformation du sourire :

1ère séance: Cette première séance permet de faire une analyse esthétique à l'aide de photos et d'une prise d'empreinte. Une première simulation photoshop préfigure le resultat esthétique final. Après validation, une maquette en cire est réalisée au laboratoire. Elle sera essayée en bouche lors de la deuxième séance.

digitalsmiledesign

2ème séance: Le praticien transfère la maquette en bouche pour une seconde validation esthétique. Ensuite, il effectue une préparation pelliculaire sur la face externe des dents du patient, en retirant seulement une infime couche d’émail (de 0,2 à 0,5 mm). L’intervention est indolore. Une empreinte des dents préparées est prise et envoyée au laboratoire avec les instructions pour la teinte et la forme souhaitées.

3ème séance: Les facettes céramiques élaborées sont essayées puis collées sur l’émail des dents. Cette technique est tout à fait fiable, grâce à l’utilisation d’adhésifs très résistants dans le temps et au matériau céramique dont la surface vitrifiée permet un maintien permanent de la teinte au cours des années.

Le concept Digital Smile Designs


Quelques cas cliniques


IMPLANTOLOGIE

Les implants dentaires

Qu’est-ce qu’un implant ?

L’implant est une racine artificielle, que l’on place dans l’os pour pouvoir remplacer une ou plusieurs dents naturelles. Il est fabriqué dans un matériau noble, le titane, dont la particularité est de pouvoir se lier aux tissus vivants de manière durable (il est biocompatible). L’implant a la forme d’une vis, sa partie émergeante reçoit la future prothèse. En 1965 les premiers implants ont été réalisés, depuis 1980, la technique s’est diffusée dans le monde entier et elle a fait ses preuves sur des centaines de milliers de patients.

implant

Dent naturelle vs implant


Étapes du traitement

La pose d’implants s’adresse à une très large majorité de patients dès l’âge de 18/20 ans. La première condition à respecter est d’avoir un os en bon état (en quantité et en qualité suffisante). Le questionnaire médical permettra d’identifier d’éventuelles contre-indications médicales. Après un examen clinique, radiographique (scanner 3D) et prothétique, l’intervention se déroule le plus souvent en deux étapes. D’abord on incise la gencive et on prépare un logement dans l’os pour mettre en place l’implant. Après l’avoir recouvert d’une vis de cicatrisation, on referme la gencive et on laisse la cicatrisation osseuse (ostéointégration) se dérouler pendant 3 à 4 mois Enfin, la prothèse définitive est alors réalisée classiquement.

Etapes du traitement implantaire


Comment se déroule l’intervention chirurgicale ?

L’intervention chirurgicale requiert des règles d’asepsie rigoureuses. Elle se déroule au bloc opératoire stérile sous anesthésie locale. La durée d’intervention est d’environ 60 minutes pour un implant. L’intervention n’est pas douloureuse car elle n’est pas traumatique pour l’os. On peut par contre observer un oedème. Un traitement adapté vous sera prescrit afin de limiter ces suites opératoires.


Avantages du traitement implantaire

L'implantologie est une percée essentielle qui a amélioré la vie de milliers de patients. En effet, c'est souvent la solution optimale car :

  • Les implants constituent à ce jour la solution la plus confortable, et la plus fiable dans le temps,
  • Cela permet d'éviter de «sacrifier» inutilement des dents saines,
  • C'est la seule possibilité d'éviter une prothèse amovible,
  • Le patient retrouve le confort des dents originelles et donc une qualité de vie incomparable,
  • L'esthétique est optimale,
  • Cela évite la perte osseuse consécutive à l'extraction d'une dent,
  • Sécurité : le taux de succès de l’intervention est supérieur à 95%.
implantvsbridge

Traitement implantaire vs bridge


Maintenance implantaire

Il est nécessaire d’avoir une hygiène dentaire stricte et d’effectuer des contrôles réguliers.


PARODONTOLOGIE

QU'EST-CE-QUE LA MALADIE PARODONTALE ?

Communément appelées "déchaussement" les parodontites sont des infections chroniques (c'est-à-dire étalées dans le temps). Elles se traduisent par la destruction des tissus de soutien de la dent, plus ou moins sévère, plus ou moins rapide et plus ou moins généralisée.

Elles s'accompagnent de l'un ou plusieurs des symptômes suivants:

  • Un saignement au brossage,
  • Une rétraction des gencives,
  • Des sensibilités au froid en l'absence de caries dentaires,
  • Des aliments se coincent entre les dents,
  • Un mauvais goût dans la bouche et parfois mauvaise haleine,
  • Apparition d'espaces entre les dents,
  • Des dents qui bougent,
  • Parfois des abcès.

Il existe plusieurs formes de parodontites. Les plus fréquentes sont les parodontites "chroniques de l'adulte" (80%) d'évolution rapide (localisée ou généralisée). Toutes les parodontites répondent très bien au traitement approprié (diférent selon le type de parodontite) s'il est rapidement instauré faute de quoi une ou plusieurs dents peuvent être, à terme, perdues.

Stades de la parodontite

Evolution de la maladie parodontale

QUELS SONT LES FACTEURS DE RISQUE DE SOUFFRIR DE PARODONTITE ?

Contrairement à une idée encore très largement répandue dans le grand public, les parodontites ne sont pas des maladies dues au vieillissement, ou que l'on retrouve chez des patients qui ne se brossent pas bien les dents. En effet, de jeunes personnes aux dents propres peuvent souffrir de parodontites alors que d'autres plus âgées, avec une hygiène dentaire relative, ont un parodonte solide.
Nous savons à l'heure actuelle qu'il existe des personnes plus sujettes que d'autres au déchaussement, et ces personnes présentent le plus souvent une ou plusieurs des caractéristiques suivantes :


  • Présence d'antécédents familiaux de parodontites,
  • Présence de stress psychologique avec ou sans dépression nerveuse,
  • Tabagie active,
  • Relative résistance à la carie dentaire,
  • Susceptibilité aux infextions (diabète par exemple)
  • Historique de gingivite ulcéro-nécrotique

COMMENT TRAITE T-ON UNE PARODONTITE ?

Il existe 3 stades du traitement des parodontites qui sont essentiels à son succès:


PREMIER STADE

L'arrêt de l'évolution du déchaussement est assuré par le contrôle de l'infection. En cas de parodontite, des soins de désinfection locale sont prescrits. C'est une technique de brossage adaptée à une parodontite active qui utilise une brosse à dents souple, des brossettes interdentaires associées à des antiseptiques. Ils suffisent souvent à faire disparaître en quelques semaines une grande partie des symptômes. D'autre part, les soins locaux permettent l'élimination du tartre dans les meilleures conditions de sécurité.


DEUXIEME STADE

L'élimination du tartre se fait par la technique de la "lithotritie parodontale" et permet de consolider le parodonte. Si le détartrage est un acte fréquent en dentisterie quotidienne (souvent pour des raisons esthétiques), l'élimination du tartre au cours du traitement d'une parodontite se fait à l'aide de techniques différentes. La lithotritie parodontale se réalise à l'aide d'une instrumentation spéciale et sous loupes. La lithotritie parodontale nécessite du temps (en général 4 à 5 séances de 45-60minutes chacune espacée d'un mois environ). Cette technique ne nécessite pas d'anesthésie locale car elle n'est pas douloureuse.


TROISIEME STADE

Une séance de fin de traitement sera réalisée pour valider les résultats et indiquer ce qu'il faut faire pour maintenir les résultats et éviter les récidives.

PEUT-ON GUERIR D'UNE PARODONTITE ?

S'il est possible de guérir une gingivite, ce terme ne peut pas s'appliquer aux parodontites. Cependant, il est possible d'arrêter la progression d'une parodontite et de consolider les tissus parodontaux afin de garder les dents naturelles. Néanmoins, après traitement parodontal, il est absolument nécessaire de suivre un programme de maintenance régulière afin d'éviter les récidives.

Conséquences d'une parodontite non traitée

La parodontite non traitée conduit à une perte de l’os qui soutient la dent. Les dents deviennent de plus en plus mobiles et souvent causent des infections douloureuses (abcès parodontaux).
Les patients atteints de parodontite présentent souvent une mauvaise haleine (halitose) persistante qui peut créer une gêne importante dans les rapports sociaux.
La parodontite non traitée est un foyer infectieux chronique qui a des répercussions sur l’organisme entier :

  • Maladies cardiovasculaires: les patients atteint de parodontite ont plus de risque de souffrir d’angine de poitrine, d’infarcus ou d’endocardite. Voir étude
  • Problèmes liés à la grossesse: le risque est plus élevé de donner naissance à un prématuré ou à un bébé de faible poids. On constate une mortalité plus élevée du nourrisson. Voir étude
  • Le risque d’attaque cérébrale est plus important. Voir étude
  • Chez le diabétique, la parodontite non traitée rend le contrôle de la glycémie plus difficile.Voir étude

Soins conservateurs

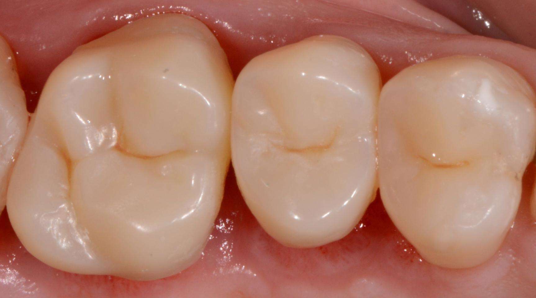
Inlays-Onlays

Lorsque le volume de tissu dentaire détruit est important, les inlays et les onlays deviennent des alternatives intéressantes aux reconstitutions réalisées traditionnellement à base de "plombages" ou de résines tout en permettant d'éviter une couronne qui entraine un délabrement plus important de la dent.


Définition d'un inlay et d'un onlay :

Les inlays-onlays sont des restaurations dentaires indirectes assemblées par collage destinée à restaurer une perte de substance dentaire. Classiquement, on décrit l’inlay comme une incrustation dans la dent sans recouvrement cuspidienn. Le terme d’onlay est employé lorsque la pièce prothétique réalise un recouvrement cuspidien.

inlay

Avantages des inlays-onlays :

  1. Meilleure résistance mécanique que les reconstitutions directes réalisées au cabinet dentaire par une meilleure répartition des forces lors de la mastication
  2. Moins de délabrement de la dent que par une couronne
  3. Meilleur point de contact avec les dents voisines
  4. Qualité de la jonction dent-matériau d'obturation améliorée

Technique de réalisation :

Première séance : la dent est préparée en nettoyant la carie et en taillant une cavité qui accueillera l’inlay. Une empreinte dentaire est ensuite réalisée et envoyée au laboratoire avec les références de teinte. L’inlay (ou l’onlay) sera fabriqué en un monobloc qui s’insère parfaitement dans la cavité comme un morceau de puzzle.

Deuxième séance : l’inlay est posé et collé dans la cavité de la dent. Ce collage est réalisé à l’abri de la salive grâce à un champ opératoire placé directement sur la dent. L’adhésion chimique aux parois dentaires consolide l’ensemble et assure une parfaite étanchéité de la restauration.


La Prothèse

LES TRAITEMENTS PROTHETIQUES


La prévention chez l'enfant

LA PREVENTION CHEZ L'ENFANT

S’il est très important de faire soigner ses caries, il est encore plus important d’essayer de les éviter !! La prévention est la clé de la santé bucco-dentaire, et nécessite une bonne motivation et des visites de contrôles régulières.

Nous évaluerons :

  • le risque carieux de votre enfant,
  • l’efficacité de son brossage,
  • la nécessité d’une prophylaxie adaptée,
  • la nécessité d’une prise en charge orthodontique,
  • le rythme idéal de ses contrôles chez le dentiste (tous les 3 à 12 mois selon l’enfant),

Nous répondrons à vos questions sur :

  • les brosses à dents et les dentifrices,
  • les techniques de brossage et comment s’améliorer,
  • les moyens de prévention dont dispose le cabinet dentaire

LES VERNIS FLUORES

Le fluor, qu’est-ce-que c’est ?

Le fluor est un élément connu pour son effet cariostatique. Il agit en se fixant sur l'émail des dents et le rend plus résistant aux attaques acides.
Les études montrent que l'application topique de vernis fluoré chez l'enfant réduit le risque carieux d'environ 35%.

fluor

Comment cela va-t-il se passer ?

A la fin de la séance de soins, une application globale de vernis fluoré sera réalisée sur les secteurs soignés. On peut considérer qu'il agit comme les "masques de beauté", et comme eux, il faut respecter un temps de pose. Après cette application, votre enfant ne doit pas boire ni manger pendant 30 minutes. Après 30 minutes, il peut boire mais doit attendre encore 30 minutes avant de pouvoir manger (soit une heure après application). Il est déconseillé de brosser les dents de votre enfant pendant 3 heures après l'application. Selon le risque carieux de votre enfant, cette application est à renouveler tous les 6 à 12 mois.


Cela présente-t-il un danger pour mon enfant ?

Comme pour tout médicament, il n'est jamais bon de dépasser certains dosages. Le dossier pédiatrique que vous avez rempli vous pose toutes les questions nécessaires pour que le praticien puisse effectuer un bilan des apports fluorés de votre enfant et ainsi déterminer si une application fluorée mènera ou non à une exposition trop importante. Si vous faites partie des personnes qui souhaitent éviter à leur enfant un contact avec le fluor, nous vous conseillons de faire surtout attention au passage du fluor par voie générale via le sel de table, les eaux en bouteilles (certaines sont très fluorées, mais cela n'est pas forcément inscrit sur l'étiquette) et le dentifrice qu'utilise votre enfant, ainsi qu'à l'ingestion de boissons telles que le thé ou le lait de soja. L'application locale de vernis fluoré garde tout son sens même pour une famille souhaitant l'éviter au maximum.


Pourquoi est-ce le mieux pour mon enfant ?

Le fluor est très utile pour reminéraliser l'émail abîmé et prévenir la réapparition de caries dentaires après les soins. Il peut aussi permettre de stabiliser des lésions carieuses initiales et ainsi éviter la nécessité d'un traitement plus poussé.


Est-ce bien remboursé ?

L'application de fluor et les soins associés vont engendrer la facturation de soins remboursables, qui vous seront directement remboursés grâce à la carte vitale, et de soins non remboursables, dont le remboursement dépendra uniquement de votre contrat mutuelle. Un devis vous sera remis : envoyez-le à votre mutuelle pour connaître votre prise en charge.
De notre point de vue, le fluor est une très bonne option pour limiter l'apparition et la réapparition de caries chez les enfants qui présentent un risque carieux modéré à fort. N’hésitez pas à nous poser des questions supplémentaires.


© Dr Olivier Starck | Tous droits réservés | Mentions légales